Harnsteine, bzw. Nierensteine gehören zu den häufigsten urologischen Krankheitsbildern. Die Inzidenz hat sich in den letzten drei Jahrzenten verdreifacht, nahezu jeder 10. Bundesbürger ist im Laufe seines Lebens von einer Nierenkolik betroffen. Somit kann die Erkrankung als Volkskrankheit angesehen werden, wobei Männer im Allgemeinen dreimal so häufig betroffen sind wie Frauen. Nierensteine können einmal im Leben auftreten oder zum permanenten Begleiter werden – die Steinerkrankung ist äußerst vielseitig!
 
                
            
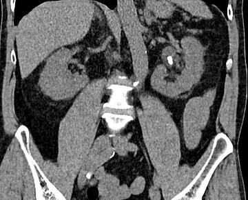
        Computertomographie mit dem Nachweis eines Nierenbeckensteines links
Das typische Beschwerdebild eines Patienten mit einem Stein im Harntrakt ist gekennzeichnet durch eine sogenannte Nierenkolik. Dabei besteht ein in Wellen auftretender, starker Schmerz im Bereich der Nierengegend mit Ausstrahlung in die Leiste und das Genitale. Die Nierenkolik bedarf einer umgehenden ärztlichen Abklärung.
Vordergründiges Ziel der Diagnostik ist die Beschaffung von Informationen zur Steingröße, Steinlokalisation und Steinzusammensetzung sowie zur Dringlichkeit der Therapie. Wir führen die komplette Diagnostik in unserer Klinik durch, damit können wir alle Therapiemöglichkeiten individuell für jeden einzelnen Patienten anbieten.
Die Diagnostik besteht aus der Abklärung der Symptome, körperlicher Untersuchung, Urin- und Blutlabor sowie einer Bildgebung. Die Standard-Bildgebung besteht zunächst aus einer Ultraschalluntersuchung, gefolgt von einer Computertomographie (Low-Dose CT mit niedriger Strahlenbelastung). Durch die Untersuchung mittels CT ist es möglich, selbst Steine darzustellen, die aufgrund ihrer Zusammensetzung im konventionellen Röntgen nicht zur Darstellung kommen (z.B. Harnsäuresteine).
Grundsätzlich richtet sich die Behandlung von Nierensteinen nach den Beschwerden des Patienten, der Lage und der Größe des Steines sowie den eventuell vorhandenen Begleiterkrankungen. Somit können wir für jeden Patienten eine individuelle und optimale Behandlung der Nierensteine festlegen. Dabei existieren folgende Möglichkeiten:
Ist der Stein aufgrund seiner Größe und Lokalisation prinzipiell in der Lage, spontan abzugehen, kann dies mittels einer konservativen medikamentösen Therapie unterstützt werden. Damit kann ggf. eine Operation vermieden werden. Wenn sich allerdings unter einer solchen konservativen Therapie zeigt, dass die Nierenfunktion schlechter wird, Fieber auftritt oder keine ausreichende Schmerzfreiheit erreicht wird, muss eine Harnableitung über eine Harnleiterschiene („Doppel-J-Katheter“) erfolgen.
Bleibt der spontane Steinabgang aus, stehen uns im Anschluss mehrere operative und minimalinvasive Verfahren zur Verfügung.
Bei der minimalinvasiven Harnleiter- und Nierenspiegelung können die Steine über die Harnröhre ohne einen Schnitt mit einem Laser zerkleinert und entfernt werden. In der Regel wird anschließend vorübergehend eine Harnleiterschiene (ein kleiner Kunststoffschlauch) in die betroffene Niere eingelegt, bis alle Steinreste abgegangen sind und die Schleimhaut des Harnleiters nach dem Eingriff wieder komplett abgeschwollen ist. Der stationäre Aufenthalt für den Eingriff beträgt in der Regel zwei bis drei Tage. Die einliegende Harnleiterschiene kann in den meisten Fällen vor Entlassung des Patienten wieder entfernt werden.
Bei diesem Eingriff, der bei größeren Steinmassen oder wenn die Steine sehr ungünstig im Nierenbecken liegen notwendig wird, wird über einen kleinen Hautschnitt minimal-invasiv ein Kanal in das Nierenbecken geschaffen. Über diesen Kanal wird ein Instrument in das Nierenbecken eingeführt und über dieses mit einem Laser die Steine zerkleinert und ausgespült. Der Vorteil dieses Verfahrens ist, dass auch große Steinmassen effizient entfernt werden können. Nach dem Eingriff wird eine Harnleiterschiene in die Niere eingelegt, um Steinresten den Abgang über den Harnleiter zu ermöglichen. Diese Schiene wird nach ca. 2 Wochen ambulant wieder entfernt.
Bei der ESWL werden Harnsteine in Niere und Harnleiter durch gebündelte Ultraschallwellen von außen zertrümmert und die Bruchstücke auf natürlichem Weg mit dem Harn ausgeschieden. Der Eingriff findet in Narkose statt. Zusätzlich ist die vorübergehende Einlage einer Harnleiterschiene, des sogenannten DJ-Katheters, notwendig, um ein schmerzfreies Abgehen der Bruchstücke zu ermöglichen. Dieser DJ-Katheter kann später ambulant ohne Narkose problemlos wieder entfernt werden.
Zur Vermeidung einer rezidivierend auftretenden Nierensteinerkrankung wird der von uns entfernte Stein in einem Speziallabor analysiert. Analog der Steinanalyse erhält jeder Patient eine individuelle Ernährungsempfehlung zur Unterstützung der Vermeidung eines erneuten Steinleidens. Zusätzlich können weitere konservative Maßnahmen, wie Gewichtsreduktion, Erhöhung der Trinkmenge sowie Reduktion des Konsums von tierischen Eiweißen einen Beitrag zur Stein-Prophylaxe leisten.
Weiterhin kann bei bestimmter Steinzusammensetzung eine medikamentöse Therapie sinnvoll sein, beispielsweise bei Harnsäuresteinen. Ursächlich hierfür sind nämlich eine vermehrte Harnsäureausscheidung und der damit verbundene anhaltend niedrige pH-Wert im Urin. Entsprechend sind hierbei die Anhebung des Urin-pHs durch Alkalizitrate oder Natriumbikarbonat sowie die medikamentöse Senkung der Harnsäureausscheidung mit Allopurinol die Mittel der Wahl.