Umstellungsosteotomien am Loretto-Krankenhaus Freiburg
Die Ursache einer Arthrose im Kniegelenk kann eine Achsfehlstellung des Beines sein. Hierbei handelt es sich oft um eine O- oder X-Beinfehlstellung (Varus- und Valgusfehlstellung). Diese Fehlstellungen verursachen eine vermehrte Belastung von Teilen des Kniegelenkes. Das häufiger vorliegende O-Bein führt zu einer übermäßigen Beanspruchung der Innenseite des Kniegelenkes, das X-Bein zu einer vermehrten Belastung der Außenseite.
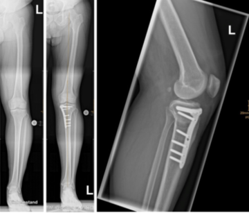
Der häufigste Grund für eine Umstellungsosteotomie ist entsprechend der beginnende oder vorhandene Verschleiß eines Anteiles des Kniegelenks bei bestehender Achsfehlstellung des betroffenen Beines. Die korrigierende Osteotomie kann durch Entfernung eines Knochenkeiles (zuklappende Osteotomie, closed-wedge) oder durch eine Aufspreizung des Knochens (aufklappende Osteotomie, open-wedge) erfolgen. Ziel der Umstellungsosteotomie ist es, die geschädigte Gelenkregion durch eine Korrektur der Fehlstellung zu entlasten. Dabei wird die Beanspruchung des Gelenkes in Richtung der zu erhaltenden Gelenkregion verlagert. Hierfür erfolgt ein operatives Durchtrennen des Schienbein- oder Oberschenkelknochens (Osteotomie), in Abhängigkeit der vorliegenden Fehlstellung. Die Osteotomie wird dann über winkelstabile Plattensysteme aus Titan in der korrigierten Position gehalten, bis eine sichere Knochenheilung erfolgt ist. Eine Ruhigstellungen im Gips ist nach der Operation nicht erforderlich.
Die Dauer des stationären Aufenthalts beträgt etwa 4-6 Tage. Eine Teilbelastung des operierten Beines beträgt etwa 6 Wochen, danach kann das Bein in der Regel voll belastet werden. Nach etwa 12 Wochen kann von einer knöchernen Heilung ausgegangen werden. Die einliegende Titanplatte kann im Rahmen eines kurzen stationären Aufenthalts ca. ein Jahr nach der Operation entfernt werden.
Patient vor und nach Umstellungsoperation am Scheinbein (aufklappende Tibiakopfosteotomie bei O-Bein)























