Kniearthrose und -endoprothetik am Loretto-Krankenhaus Freiburg
Die Gonarthrose, der Gelenkverschleiß im Kniegelenk, ist eine häufige Gelenkerkrankung. Die Wahrscheinlichkeit, an einer Arthrose zu erkranken nimmt mit zunehmendem Alter zu. Knieschmerzen sind das Leitsymptom. Typischerweise berichten Patienten von einem Einlauf- oder Anlaufschmerz - mit zunehmender Schwere der Arthrose entwickelt sich ein Dauerschmerz mit deutlicher Funktionsminderung des Gelenkes und einer Einschränkung im alltäglichen Leben.
Die Ursachen der Kniegelenksarthrose werden in primäre und sekundäre Gonarthrosen unterteilt:
- Bei primären (idiopathischen) Arthrosen liegt eine anlagebedingte Schädigung des Gelenkes vor.
- Bei sekundären Arthrosen, ist eine Ursache der Gelenkschädigung bekannt. Häufige Ursachen sind zum Beispiel die Spätfolgen eines Bruchs im Bereich des Hüftgelenkes (posttraumatische Arthrose), rheumatische Erkrankungen (rheumatoide Arthritis) sowie der Morbus Ahlbäck (Femurkondylennekrose).
Die Gonarthrose ist bislang nicht heilbar. Um das natürliche Kniegelenk so lang wie möglich zu erhalten, kommen zunächst konservative Therapiemaßnahmen in der Behandlung zum Einsatz. Diese umfassen unter anderem physiotherapeutische und physikalische Maßnahmen, orthopädischen Heil- und Hilfsmittel sowie schmerz- und entzündungshemmende Medikamente.
Die Entscheidung zur Operation sollte erst dann gestellt werden, wenn alle konservativen Maßnahmen im Vorfeld ausgereizt worden sind - dabei steht uns im Loretto-Krankenhaus ein breites Spektrum an genkerhaltenden und gelenkersetzenden Operationsmethoden zur Verfügung.
Endoprothetische Möglichkeiten
Es gibt verschiedene Knieprothesenmodelle. Welches für Ihre Situation erforderlich ist, besprechen wir gemeinsam in unserer Sprechstunde mit Ihnen. Je nach verwendetem Implantat und den anatomischen Gegebenheiten erfolgt die Verankerung der Implantate im Knochen zementfrei oder zementiert. Nach Anfertigung spezieller Röntgenaufnahmen vor der Knie OP erfolgt eine genaue digitale Planung der Prothese, individuell auf die Anatomie des Patienten abgestimmt.
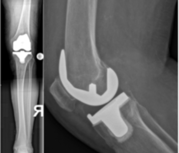
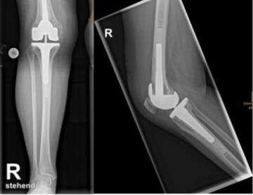
Schlittenprothese (unicondylärer Gelenkersatz, Teilgelenkersatz, Monoschlitten)
Wenn nur der äußere oder innere Anteil des Kniegelenkes betroffen ist, besteht die Möglichkeit diesen Teil des Gelenkes mit einer Schlittenprothese zu versorgen.
Doppelschlitten (Oberflächenersatz)
Sind mehrere Teile des Kniegelenks geschädigt, wird dessen gesamte Oberfläche mit einem Doppelschlitten ersetzt - unter Berücksichtigung der Anatomie des Patienten und individueller Anpassung des Implantats. Die natürlichen Bandstrukturen bleiben erhalten. Kommt es bei einer bereits eingesetzten Schlittenprothese zu einem Verschleiß im nicht versorgten Gelenkanteil, kann ein Austausch gegen eine Oberflächenersatzprothese erfolgen.
Teilgekoppelte und gekoppelte Knieprothesen
In bestimmten Situationen ist die natürliche Bandführung und Stabilität des Gelenkes nicht mehr vorhanden. In diesem Fall besteht die Möglichkeit, eine teilgekoppelte (semiconstrained) oder gekoppelte (achsgeführt, constrained, rotating hinge) Prothese zu implantieren.
Für alle Doppel- und Monoschlittenprothesen verwenden wir Prothesen aus Oxinium (Zirkonium-Niobium- Legierung) mit einem nur noch sehr geringen Anteil Nickel (kleiner 0,0035%) und Chrom (kleiner 0,02 %), Titan sowie hochvernetztes Polyethylen (XLPE). Hierdurch wird der Abrieb deutlich reduziert und die Funktionsdauer der Prothese verlängert.
Folgende Implantate finden in unserem Hause Verwendung:
- Fa. smith&nephew: „Legion“ (primäres Kniesystem)
- Fa. smith&nephew: „Journey“ (mediale Schlittenprothese)
- Fa. Link: „Endo-Modell“ (Revisions-Kniesystem (ROKNEP))
Top-Qualität in Hüft- und Knie-Endoprothetik
Jährlich implantieren wir rund 1.200 Kunstgelenke - davon ca. 2/3 Hüft- und 1/3 Knieprothesen. Dank der antiseptischen Vorbereitung im OP, kombiniert mit einem hochsterilen Laminar-Air-Flow-Operationssaal mit „Astronautenhelmen“, einer gewebeschonenden Operationstechnik und der großen Erfahrung unserer Operateure erreichen wir zusätzlich zum eigentlichen Eingriffserfolg eine sehr geringe Infektionsrate von unter 0,5%. Diese hohe Behandlungsqualität bescheinigt uns auch der unabhänige AOK-Krankenhausnavigator. Sowohl in der Hüft- als auch der Knieendoprothetik sind wir hier mit der Bestnote von je 3 "Lebensbäumen" ausgezeichnet.
FAQs - Ihre häufigsten Fragen zur Endoprothetik zusammengefasst
-
Wie lange ist mein Klinikaufenthalt nach der Operation?
Der stationäre Aufenthalt beträgt 7 Tage, im Anschluss erfolgt die Rehabilitationsmaßnahme für 3 Wochen. Diese kann stationär oder ambulant durchgeführt werden, die Planung hierfür beginnt bereits vor dem Operationstermin, um einen nahtlosen Übergang vom Krankenhausaufenthalt in die Reha zu ermöglichen.
-
Wie lange muss ich Gehstöcke/ Gehhilfen benutzen?
Insgesamt werden Sie die Gehstöcke 2 bis 6 Wochen nach der Operation benutzen, um wieder einen sicheren Gang zu erlernen. Die eingesetzte Prothese ist vom OP Tag an voll belastbar. Durch unser Konzept der „Schnellen Genesung“ (rapid recovery/ fast track) stehen Sie bereits am Tag der Operation mit Hilfe unserer Physiotherapeuten auf und werden dann täglich mit den Gehstöcken üben.
-
Sind meine Beine nach einer Hüftoperation gleich lang?
In der Regel sind die Beine nach der Operation gleich lang, vorbestehende Beinlängenunterschiede können fast immer ausgeglichen werden. Durch gründliche Operationsplanung (Link Bild Planung Hüfte) und operative Erfahrung werden Beinlängenunterschiede nahezu immer ausgeglichen. Um ein Auskugeln (Luxation) des Hüftgelenkes zu vermeiden, muss jedoch in einigen Fällen aufgrund der Verlängerung des operierten Beines eine gewisse Beinlängendifferenz in Kaufgenommen werden.
-
Welche Narkoseform wird beim Gelenkersatz angewendet?
Wenn möglich werden unsere Operationen in Teilnarkose durchgeführt, um eine Vollnarkose zu vermeiden. Sie befinden sich während der Operation in einem Dämmerschlaf (Sedierung). Dies gilt auch für aufwändige Wechseloperationen.
Für weitere Informationen steht Ihnen hier auch gerne unsere Fachabteilung für Anästhesie zur Verfügung.
-
Wie oft muss ich nach der Operation zu Kontrolluntersuchungen?
Die erste Nachuntersuchung erfolgt 3 Monate nach der Operation, die zweite nach einem Jahr. Nach dem ersten Jahr empfehlen wir Kontrollen in zweijährigen Abständen.
-
Wie lange hält mein neues künstliches Gelenk?
Die Funktionssdauer einer Hüftprothese beträgt etwa 20 Jahre, die einer Knieprothese etwa 15 bis 20 Jahre. Mitentscheidend sind verwendete Materialien, Knochenqualität, Art der Belastung, Körpergewicht sowie Operationserfahrung und Implantationstechnik.
-
Kann ich mit einem Kunstgelenk Sport treiben?
Prinzipiell können Sie jede Sportart ausüben. Ball- und Kontaktsportarten empfehlen wir jedoch eingeschränkt, da diese hohe Belastungen auf das implantierte Gelenk bedeuten (high impact). Empfohlen werden Sportarten wie Schwimmen, Radfahren, Nordic Walking und Ski-Langlauf.
-
Wann kann ich wieder Auto fahren?
Sie sollten sich im Straßenverkehr sicher bewegen können. Daher empfehlen wir Autofahren erst, wenn Sie die Gehstöcke nicht mehr benötigen.























