Dr. med. Frank Hassel

Zentrum für Orthopädische Chirurgie
Loretto-Krankenhaus
Mercystraße 6-14
79100 Freiburg im Breisgau
Tel: 0761 7084-146
Fax: 0761 7084-165
Orthopaedie@rkk-klinikum.de

Behandlung von Wirbelbrüchen am Loretto-Krankenhaus Freiburg

Wirbelkörperbrüche lassen sich grundsätzlich aufgrund ihrer Ursache in zwei Kategorien unterteilen: traumatische Brüche, also solche, die durch Verletzungen der Wirbelsäule entstanden sind, und pathologische Brüche, z. B. durch Osteoporose, Tumoren oder Entzündungen bedingte Wirbelbrüche. Für die Behandlung beider Formen von Wirbelfraktur halten wir am Loretto-Krankenhaus ein umfassendes Behandlungsspektrum vor.

Zertifizierte Top-Expertise

Zertifikat der Deutschen Wirbelsäulengesellschaft
Zertifikat der Deutschen Wirbelsäulengesellschaft

Mit dem Master-Zertifikat der Deutschen Wirbelsäulengesellschaft sowie dem European Spine Course Diploma ist Chefarzt Dr. Hassel anerkannter Experte im Bereich der Wirbelsäulenchirurgie. Zertifiziert wird nur, wer überdurchschnittlich hohe Behandlungsstandards und Erfolsquoten aufweisen kann und über eine außergewöhnlich große Erfahrung als Wirbelsäulenchirurg verfügt.

Traumatische Wirbelkörperbrüche

Die Behandlung von Verletzungen der Wirbelsäule ist zentraler Bestandteil unseres konservativen und operativen Spektrums, sodass regelmäßig Verletzungen der Hals-, Brust- und Lendenwirbelsäule und auch des benachbarten Beckenrings versorgt werden. 

Hierbei kommen operativ vorwiegend minimalinvasive Verfahren in Verbindung mit Navigation und 3D-Bildgebung bei einer Wirbelbruch OP zum Einsatz. Bei schweren Verletzungen und/oder Fehlstellungen werden auch komplexe Rekonstruktionseingriffe durchgeführt. 

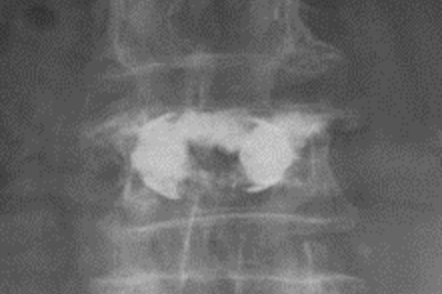
  • Röntgenbild Wirbelfraktur
    Röntgenbild Wirbelfraktur

    Traumatische, craniale Berstungsfraktur mit Bandscheibenruptur 

  • Verschraubter Wirbelbruch
    Röntgenbild verschraubter Wirbelbruch. Seitliche Ansicht

    Versorgung mit Schrauben-Stab-System und Ersatz des Bandscheibenfaches

  • Verschraubter Wirbelbruch
    Röntgenbild verschraubter Wirbelbruch
  • Wirbelbruch mit Spinalkanalstenose
    Röntgenbild Wirbelbruch mit Spinalkanalstenose

    Traumatische, komplette Berstungsfraktur mit hochgradiger Spinalkanalstenose

  • Wirbelkörperersatz
    Seitliches Röntgenbild Wirbelkörperersatz

    Versorgung mit Schrauben-Stab-System, Spinalkanaldekompression und Wirbelkörperersatz

  • Verschraubte Wirbelfraktur
    Röntgenbild verschraubte Wirbelfraktur

Osteoporotische Wirbelkörperbrüche

Die Osteoporose ist eine häufige Erkrankung des Skelettsystems, welche durch eine abnehmende Knochendichte zu einer unzureichenden Knochenfestigkeit führt, wodurch Knochenbrüche begünstigt werden. Bei osteoporotischem Knochen reicht häufig eine Bewegung mit niedriger Energie (z. B. Dreh- oder Bückbewegung oder das Anheben eines Gegenstandes), um einen Wirbelkörperbruch herbei zu führen.

Viele Wirbelbrüche bei Osteoporose können konservativ, also ohne Operation behandelt werden, hierzu wird häufig eine Rückenorthese eingesetzt. Gerade wenn nicht operiert wird, sind engmaschige Röntgenkontrollen erforderlich, um eine weiteres Nachgeben des Wirbelkörpers rechtzeitig zu erkennen und sekundäre Fehlstellungen oder ein Nichtverheilen mit dauerhaften Schmerzen zu vermeiden.

Ein gängiges operatives Verfahren zur Behandlung osteoporotischer Wirbelbrüche ist die Kyphoplastie. Hierbei wird in minimalinvasiver Technik der betroffene Wirbelkörper von innen mit einem Instrument aufgerichtet und anschließend mit Knochenzement stabilisiert. Dieses Verfahren führt bei gegebener Indikation zu einer raschen Schmerzreduktion und Wiederherstellung der Mobilität.

  • Wirbelbruch bei Osteoporose
    Röntgenbild vom Wirbelbruch bei Osteoporose

    Fraktur nach Sturz bei Osteoporose

  • SpineJack-Kyphoplastie
    Röntgenbild einer SpineJack-Kyphoplastie.

    Versorgung mit SpineJack-Kyphoplastie

  • Wirbelfraktur
    Röntgenbild Wirbelfraktur
  • Wirbelsäulenfraktur nach Sturz
    Röntgenbild Fraktur nach Sturz bei Osteoporose

    Nicht verheilte Fraktur nach Sturz bei Osteoporose

  • Wirbelkörperersatz
    Röntgenbild mit Fixierung des Wirbelkörperersatzes

    Versorgung mit Schrauben-Stab-System und Wirbelkörperersatz

  • Verschraubter Wirbelbruch
    Röntgenbild verschraubter Wirbelbruch

Standortübergreifende Expertise

Dr. Nowack und Dr. Huwert
Dr. Nowack und Dr. Huwert St. Josefskrankenhaus Freiburg

Die Behandlung von Verletzungen der Wirbelsäule ist zentraler Bestandteil unseres konservativen und operativen Spektrums, so dass regelmäßig Verletzungen der Hals-, Brust- und Lendenwirbelsäule und auch des benachbarten Beckenrings versorgt werden. Hierbei kommen operativ vorwiegend minimalinvasive Verfahren in Verbindung mit Navigation und 3D-Bildgebung zum Einsatz. Bei schweren Verletzungen und/oder Fehlstellungen werden auch komplexe Rekonstruktionseingriffe durchgeführt. 

Schon bei der Diagnostik und Therapieplanung ist durch die interne Vernetzung eine enge Zusammenarbeit möglich, die sich in der weiteren Versorgung fortsetzt und eine optimale Behandlung mit rascher Mobilisation und Genesung gewährleistet. 

Operationsbedürftige Verletzungen der Wirbelsäule nach Arbeitsunfällen werden gemäß der Richtlinien der Berufsgenossenschaften in unserer Schwesterklinik, dem St. Josefskrankenhaus Freiburg, durchgeführt. Bei Dr. Oliver Huwert, ltd. Oberarzt am Loretto-Krankenhaus (rechts im Bild) und Dr. Klaus Nowack, ltd. Oberarzt am St. Josefskrankenhaus (links im Bild) handelt es ich um ein eingespieltes Team - so finden Sie die gesamte Versorgung von Wirbelsäulentraumatologie unter einem Dach. 

Zufriedene Patientin

Patientenstimme

"Vielen lieben Dank an das Loretto-Krankenhaus und vielen Dank an den Chefarzt Herrn Dr. med. Hassel, an die Krankenschwestern und die Pfleger, ihr seid spitze! Man hat sich da als Patient sehr wohl gefühlt. Und es wurde sich um einen gekümmert. Es wurde alles ausführlich und gut erklärt. Es wurde einem die Angst von der Operation genommen. Wir sind sehr zufrieden und würden den Chefarzt und sein Team jedem weiterempfehlen. Danke für euer Mühe, Hilfe und Geduld!"

Patientenbewertung von Alina S. auf Google

Das Team

  • Dr. med. Frank Hassel

    Dr. med. Frank Hassel
    Ärztlicher Direktor
    Chefarzt Wirbelsäulenchirurgie

    Facharzt für Orthopädie und Unfallchirurgie
    Zusatzbezeichnung Sportmedizin
    Zusatzbezeichnung Chirotherapie

  • Dr. med. Oliver Huwert

    Dr. med. Oliver Huwert
    Leitender Oberarzt Wirbelsäulenchirurgie Sektionsleiter Wirbelsäulentrauma, D-Arzt

    Facharzt für Chirurgie und Unfallchirurgie

  • Loretto-Krankenhaus Orthopaedie Dr. Joerg Beck

    Dr. med. Jörg Beck
    Oberarzt

    Facharzt für Orthopädie und Unfallchirurgie
    Zusatzbezeichnung Sportmedizin

  • Uwe Schorer

    Uwe Schorer
    Oberarzt

    Facharzt für Chirurgie
    Facharzt für Orthopädie und Unfallchirurgie
    Zusatzbezeichnung Spezielle Unfallchirurgie
    Zusatzbezeichnung Chirotherapie

  • Loretto-Krankenhaus Orthopaedie Dr. Gabriel Wetzel

    Dr. med. Gabriel Wetzel
    Oberarzt

    Facharzt für Orthopädie und Unfallchirurgie
     

Weitere Informationen

Veralteter Browser

Sie verwenden einen veralteten Browser. Die korrekte Darstellung der Webseite ist nicht garantiert und die Bedienung ist eingeschränkt bis hin zu nicht bedienbar.